Телефон:
whatsapp telegram vk email

В почке анэхогенное образование: что это может быть?

Прежде всего следует объяснить, что в почке анэхогенное образование не является заболеванием, а просто областью кистозного происхождения. Данное образование может впервые быть определено во время проведения ультразвукового исследования.

Анэхогенность в почке, как и в любом другом внутреннем органе в человеческом организме, свидетельствует о наличии любой жидкости, способной заполнить орган. На рентгеновском снимке такая аномалия представлена в качестве черного пятна.

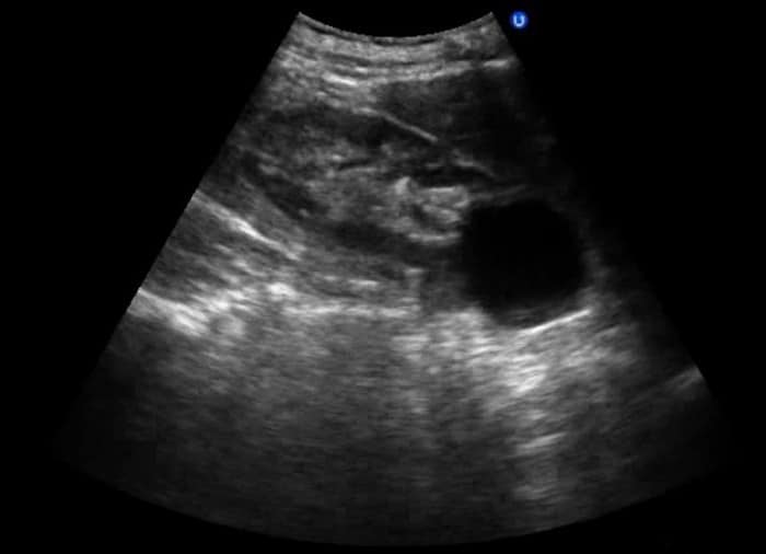
image Фото: происхождение анэхогенных образований в почках

Разновидности аномалии

Объемная аномалия в почке может присутствовать как в левой, так и в правой, а порой и в обеих. Анэхогенное образование имеет круглую или овальную формы, может занимать различное положение внутри почки и на поверхности. Киста бывает одна или несколько, имеющих отличающуюся структуру тканей и иметь на мониторе различные тени, перегородки, включения.

Кисты почек, по месту дислокации, классифицируются

  • Субкапсулярные. Находятся под почечной капсулой.
  • Кортикальные. Находится внутри почки (в почечной коре).
  • Интрамедуллярные. Локализация в мозговом веществе почки.
  • Окололоханочные. Расположены рядом с лоханкой.

Кисты почечного синуса, вызывают нарушение оттока мочи. Анэхогенные образования в почке могут быть врожденными и приобретенными, маленькими и большим. При незначительных размерах опухоли, её не считают опасной патологией, она легко поддается быстрому лечению.

Симптоматика

Чаще всего различного рода очаговые образования в почках не проявляются длительное время. Отсутствие симптоматики наблюдается при размерах опухоли до 3 см в диаметре. Изменения своего состояния пациенты также могут не замечать из-за медленного развития образования. Нередко на этой стадии происходит случайное обнаружение патологии при обследовании пациента при помощи ультразвука.

Симптомом такого образования может быть боль в области почки.

  • опорожнение мочевого пузыря с вкраплениями крови;
  • болезненность в области локализации почке, а также брюшной полости;
  • округлое образование прощупывается при осмотре врачом.
  • боли в области почки на стороне поражения тупые, ноющие (при увеличении кисты в размерах);
  • учащенное болезненное мочеиспускание в случае присоединения инфекции;
  • жажда;
  • полиурия (увеличение количества мочи);
  • гематурия (появление в моче эритроцитов);
  • повышение уровеня артериального давления;
  • мышечные и суставные боли;
  • повышение температуры тела;
  • общая слабость.
Киста почекКиста почек

По своему изображению и структуре кисты подразделяются

  • Солитарный. Форма округлая, нет визуализации протоков и перетяжек. Такое изображение свидетельствует о наличии в сосудах застойных процессов.
  • Поликистозные. Усеиваю почти всю поверхность почки. Представляют большую опасность.
  • Мультикистозные. Развиваются по несколько штук внутри почки и в мозговом веществе.
  • Дермоидные. На них появляется волосяной покров, жировые клетки, и порой кожа.
  • Гематома. Дислоцируется рядом с почкой, выглядит на УЗИ на околопочечный темный блик.
  • Карцинома (рак). Имеет неровные края, не содержит капсул.

Анэхогенные образование в почке бывает доброкачественным и злокачественным (рак). Доброкачественные кисты, бывают единичными и множественными. Их наличие свидетельствует о воспалительном процессе в органе, но его функции ещё не нарушены. Крупные образования бывают нескольких видов: метастазы, аденомы, кальцинозы, некрозы. Злокачественные кисты, имеют неровные края и рыхлую структуру.

Особенности анэхогенных новообразований на УЗИ

Чаще всего, эхонегативное образование области придатков оказывается обычной кистой, которая самостоятельно проходит через несколько менструальных циклов. Если в ее составе обнаружены кровеносные сосуды, пациентка должна пройти дообследование, чтобы исключить злокачественную опухоль. В большинстве случаев отличить доброкачественную кисту от ракового новообразования удается без дополнительных анализов. Дело в том, что кистозные тела являются аваскулярными. Это значит, что в них отсутствует кровоснабжение. Тип кисты тоже определяется достаточно легко. Так, фолликулярные образования характеризуются не только низким отображением ультразвука, но и яичниковой тканью по периферии. Их диаметр может варьировать от 25 до ста миллиметров. Внутри такого новообразования находится анэхогенное содержимое, а сзади него присутствует эффект усиления ультразвукового сигнала.

Обратите внимание: При обнаружении патологии врачи рекомендуют эхобиометрическое исследование в динамике. Это позволяет избежать осложнений и вовремя начать лечение.

Анэхогенные образования, появившиеся после овуляции, могут указывать на кистозность желтого тела. На эхограмме подобные патологии расположены сзади, сбоку или выше матки. Их размеры достигают от тридцати до 65 миллиметров.

Существует четыре разновидности морфологического строения такой кисты:

  • анэхогенный элемент с однородной структурой,
  • однородное образование с низкой эхогенностью и полными либо неполными перегородками, отличающимися неправильной формы,
  • однородные элементы анэхогенного типа с сетчатыми или гладкими пристенчатыми структурами, диметр которых составляет 10-15 миллиметров,
  • образование, структура которого имеет зоны со средней эхогенностью.

Анэхогенными новообразованиями в придатках могут оказаться некоторые типы тератом. К данному типу включений относятся также многокамерные или однокамерные серозные кисты. Они могут быть самостоятельными патологическими элементами придатка либо служить проявлением другого заболевания, в том числе, злокачественной опухоли.

Важно! Если на УЗИ обнаружено многокамерное неоднородное образование с эхопозитивными элементами либо такая структура с анэхогенными частями, велика вероятность, что в яичниках присутствуют злокачественные процессы. Рекомендуем узнать: Киста яичника с перегородкой что это

Причины и симптомы

Одной из общих причин, можно считать плохую противоопухолевую защиту, или недостаток определенных клеток защитников. Есть ряд параметров, которые провоцируют появления различного рода образований: нездоровый образ жизни (курение, злоупотребление алкоголем, наркомания), неправильное пищевое поведение (переедание, голодовка), наследственность, прием гормональных средств, получение доз радиации.

Диагностировать опухоль без УЗИ, можно по нескольким общим симптомам: наличие кровяных вкраплений в моче, опухоль пальпируется, болезненные ощущения в области поясницы и живота. На поздней стадии к имеющимся симптомам добавляется повышенная температура тела (наличие абсцесса), отеки, резкая потеря веса и общая слабость.

Деформация печени

Как и в случае с почками, инородная структура практически постоянно представлена кистой.

  • Эхинококковая киста – округлое образование, которое отличается эхогенными стенками и наличием внутри кальцинатов.
  • Аневризма печеночной артерии. Образование, подверженное пульсации, эхонегативное.

Простой вариации кисты присущи перегородки, овальная или округлая форма, отбрасывание контуром теней.

Опасность образований

Затемненные области на УЗИ могут говорить о продолжительном воспалительном процессе, и появлении скопления гноя. Образование, с полостью гноя, принимает гипоэхогенную форму, плохо реагирует на звук и его отражение, что может обернуться разрывом кисты, развитием нарушений функций почки. Гипоэхогенностью часто обладают: сгустки крови, гнойные полости или сами опухоли и кисты.

Появившееся, вследствие, образования гематомы, кровотечение, на УЗИ будут изображены как гипоэхогенности. Киста, характеризует собой новообразование левой почки или правой, которое наполняет жидкость. Если диагностированы такие патологии, то это сигнализирует о ряде изменений в почечной области внутренних органов.

Опухоль может спровоцировать такие осложнения, как пиелонефрит различных видов, мочекаменную болезнь, артериальную гипертензию.

Диагностика

Первые подозрения на наличие опухолей в почечной системе возникают после обострения клинической картины или ультразвукового исследования. Врач, в первую очередь, составляет анамнез заболевания.

После этого больному назначаются анализы крови на количество лейкоцитов, а также анализ урины, который дает информацию о функциональности почечной системы. Также учитывается, сколько человек выпил жидкости за сутки.

Если после проведенных диагностических мероприятий остались сомнения в точности поставленного диагноза, назначаются дополнительные исследования:

  1. Пациенту требуется пройти рентген с контрастом.
  2. Выполняется нефросцинтиграфия.
  3. Назначается пункция содержимого кисты. Под контролем УЗИ вводится игла в полость новообразования, которая откачивает его содержимое. Чаще процедура проводится во время хирургического удаления опухоли, что объясняется высоким риском разрыва кисты.

Количество диагностических методов определяется сложностью установления диагноза. Важно! Причины возникновения анэхогенной опухоли различны, и методики лечения, в зависимости от провоцирующего фактора, также различаются.

В некоторых случаях опухоли не требуют терапевтических процедур, в других речь идет о возможности дальнейшего функционирования всего органа или даже о сохранении жизни человека.

Лечение новообразования

После подробной диагностики, специалист, назначает метод лечения в соответствии с размерами образования. Новообразование не вызывающее дискомфорт и не приводящее к нарушению функций внутренних органов, наблюдают, но не оперируют. При росте опухоли, определяют её характер и принимают решение о методе вмешательства и проведения лечения. Часто, удаляют только образование, при помощи резекции почки, но в случае со злокачественным видом, удаляют орган целиком.

Кроме метода оперативного вмешательства используют лучевую терапию и химиотерапию, как дополнительные сферы воздействия на новообразование и профилактику возникновения метастаз. Как и со многими заболеваниями органов человека, лучше предупредить его, чем потом вылечить. Но в отличие от людей, попадающих в зону риска (курящих, пьющих, работающих на вредных производствах и др.), от опухолей страдают и остальные люди.

Вопрос о профилактике стоит, в этом случае, остро, если ты соблюдаешь все правила здорового образа жизни, правильно питаешься и много времени проводишь на чистом воздухе, как защитить себя от рака? Ответ, к сожалению, сводится к общим методам, это регулярное прохождение диспансеризации, сдача анализов мочи и внимательное отношение к сигналам вашего организма.

Период беременности

У плода во внутриутробном периоде обнаруженное образование зачастую является кистой, однако место его локализации также немаловажно. После родов указанные патологии практически не подтверждаются.

При беременности эхо-негативная структура представляет собой:

  • Лютеиновую или фолликулярную кисту, если располагается в яичнике.
  • Доброкачественное жидкостное образование.
  • Плодное яйцо.

В последнем случае выявление осуществляется на сроке 5-6 недель, образование располагается в верхней части матки и имеет гиперэхогенный ободок.

Причины появления анэхогенных образований

Главной причиной возникновения таких структур признано наличие кист. Поскольку именно для них специфична эхонегативная картина на УЗИ. А так, как подобные структуры выглядят как отдельные круглые полости с жидкостью внутри, то они дают при ультразвуковом исследовании хорошее изображение структур пораженного органа, которые локализованы вдали от очага ультразвука.

При ультразвуковом обследовании кисты выглядят как анэхогенные образования без кровеносных сосудов.

Механизмы образования подобных опухолей доподлинно не известны.

Гипоэхогенное образование в почке

В нормальном состоянии почки здорового человека симметрично расположены, имеют четкую структуру и овальную форму. При их сканировании не отражаются ультразвуковые волны. Но при патологических изменениях или заболеваниях почек УЗИ может обнаружить гипер- или гипоэхогенные тела.

Гипоэхогенные образования (включения, тела) – это участок органа или полости имеющий сниженную акустическую плотность, по сравнению с окружающей его тканью. На мониторе они выглядят как черные пятна с четкими или размытыми краями имеющие акустическую тень или без таковой.

Профилактические меры

Значительную роль в профилактике появления гипоэхогенных образований щитовидной железы играет соблюдение правильного образа жизни. Повышенная иммунная защита также будет предотвращать развития заболеваний.

  • Употребление продуктов, содержащих йод (или применение препаратов, восполняющих дефицит йода).
  • Отказаться от злоупотребления алкогольными напитками и курения.
  • Избегать длительного пребывания под яркими солнечными лучами.
  • Регулярно проходить диагностику у врача.
  • Заниматься спортом и вести активный образ жизни.

В группу риска входят лица, у которых есть близкие родственники с заболеваниями щитовидной железы. Главный фактор появления проблем с щитовидкой — генетическая предрасположенность.

Поэтому таким людям в первую очередь нужно регулярно делать УЗИ и посещать эндокринолога, чтобы вовремя выявить начало развитие узлов.

Что делать и как лечить

Стоит помнить, что лечение направлено не на гипоэхогенное образование, обнаруженное УЗД исследованием, а заболевание, которое повлекло к паталогическим изменениям ткани.

Рекомендовать диету, медикаментозное лечение, лечебно-профилактические процедуры должен исключительно доктор, на основании результатов тщательного обследования органа и анализов крови и мочи.

При выборе метода лечения определяющим фактором служат размеры и характер новообразования. Простые и мелкие сложные (до 30 мм) кисты, также как и прочие небольшие доброкачественные тела, наблюдают в динамике.

При отсутствии роста и негативного влияния на функции организма не происходит, их оставляют под наблюдением. Незлокачественные тела, нарушающие работу почек, склонные к прогрессированию и активному росту, подлежат удалению очага опухоли хирургическим путем.

При онкологическом включению удалять приходится, в большинстве случаев, почку полностью. Хирургические вмешательства проводят при помощи киберножа или лазерных технологий. В случаи злокачественных процессов хирургическое лечение обязательной лучевой и химиотерапии.

В начальной стадии новообразований со злокачественным включением применяется криотератия – метод, при котором пораженные участки подвергают заморозке.

Первые признаки болезни

Длительное время увеличенную щитовидку или образования в ней можно не замечать. Протекают такие патологии на ранних стадиях практически бессимптомно. Когда лимфоузлы начинают увеличиваться, то на ощупь чувствуется уплотнение. Характерные симптомы появляются очаги существенно увеличиваются в размерах и давят на фронтальные части шеи.

  • Чувство сдавленности или «комка» в горле.
  • Першение.
  • Нарушения глотательного рефлекса.
  • При надавливании отмечается болезненность.
  • Увеличение веса или его снижение.
  • Нарушения ЖКТ.
  • Боль в мышцах.
  • Слабость, сонливость.
  • Перепады настроения.

Помимо этого, автономные гипоэхогенные образования характеризуются:

  • Учащенное сердцебиение.
  • Тремор конечностей.
  • Усиленное потоотделение.
  • Гипертония.
  • Нарушения репродуктивной функции.
  • Снижение половой активности.

При наличии вышеперечисленных симптомов нужно незамедлительно обратиться к врачу-эндокринологу. Чем раньше удастся выявить заболевание, тем проще его будет вылечить.

Чем это опасно

Ссылка на основную публикацию
Похожее