Телефон:
whatsapp telegram vk email

Рак мозга: признаки и симптомы. Первые признаки рака головного мозга

Процент людей, живущих с ОГМ, довольно высок. Далеко не каждый знает, каковы главные симптомы на ранней стадии заболевания. К сожалению, диагностировать рак ГМ удается в большинстве случаев только на последних стадиях, когда шансы на выживание ничтожно малы, а некоторые разновидности вообще идентифицируются только посмертно, ввиду стремительного развития.

Общие симптомы злокачественной опухоли мозга:

  1. Один из наиболее ярких признаков – головная боль, которая становится более острой от любого физического усилия. Но, между прочим, у половины онкологических больных на первых порах она вообще отсутствует.
  2. Головокружение тоже может быть симптомом новообразования, если возникает независимо от положения больного и подолгу не проходит. Как правило, оно объясняется изменениями в гипофизе или вызванным опухолью повышением внутричерепного давления.
  3. Распространено также и ощущение «ватности» в суставах и конечностях. На начальной стадии этот симптом обычно проявляется как слабость, но с развитием болезни может наблюдаться частичный парез или паралич конечностей.
  4. Нарушения зрения тоже могут рассматриваться как сопровождающие рак мозга признаки. Они в данном случае проявляются в виде плавающих перед глазами пятен, мушек, а также в болезненности глазного нерва. Часто на ранней стадии может возникнуть и нистагм глазного яблока.
  5. Проблемы со слухом также должны насторожить. Они возникают в виде звона в ушах или необъяснимой односторонней глухоты.

Ко всему перечисленному можно добавить и беспричинные изменения пульса, перепады давления, бледность или появление обильных пятен на коже, а также потливость.

признаки рака мозга

Читайте также:  Трахеобронхит у детей и взрослых — причины заболевания, симптомы, диагностика и методы лечения

Лечение

Терапия будет зависеть от того, как проявляется недуг, стадии развития новообразования и места расположения. Самым эффективным методом лечения, на сегодняшний день, остается удаление хирургическим путем. Но, удалить новообразование удается далеко не всегда, даже на начальных этапах. При локализации образования в жизненно важных участках, используют гамма-нож или кибер-нож. Методы основаны на облучении пораженного участка гамма-лучами.

Также при невозможности сделать хирургическую операцию, практикуют криозаморозку. Нарост замораживают и осторожно извлекают из черепной коробки.

Неврологические проявления рака

Первые признаки рака головного мозга могут проявляться как неврологические и психические расстройства, выражающиеся апатией, которую может сменять кратковременная эйфория, беспричинной агрессией и провалами в памяти. К ним часто присоединяются спутанность сознания, нарушения ориентировки во времени и пространстве, различные проявления изменений личности, а также зрительные или слуховые галлюцинации.

А при поражении глубинных отделов мозга могут обнаружиться и быстро нарастающие признаки полной дезорганизации психической деятельности человека.

признаки рака головного мозга

Стоимость проведения операций

Раньше пациенты с опухолью в головном мозге стремились проводить лечение заграницей из-за того, что по месту жительства проживания такие операции проводить было невозможно из-за отсутствия необходимого оборудования. Ситуация полностью изменилась. Большинство российских клиник оснащено самым современным оборудованием, не уступающим зарубежному. Это позволяет получить качественное лечение. В России есть возможность бесплатного лечения, при наличии медстраховки. Цена на такие операции в Москве колеблется от 50 до 500 тысяч рублей, в Германии от 1500 до 15000 евро, в Израиле от 8000 до 18000 долларов.

Как проявляются поражения разных долей мозга

Признаки рака мозга проявляются по-разному, в зависимости и от того, какая часть задета. Если опухоль затрагивает гипофиз или ствол, то это обычно вызывает нарушение координации движений. Заметно понижается способность к концентрации внимания, кроме того, у пациента может появиться отчетливое двоение перед глазами. Еще одни из признаков – неспособность определить расстояние до предмета и нетвердость походки.

В некоторых случаях рак мозга проявлялся болезненными ощущениями при глотании, затрудненностью движений языком, а также нарушениями работы мимических мышц или их парезом.

При поражении мозжечка к перечисленным выше признакам могут добавиться тошнота, рвота, спазмы в затылке и нистагм.

рак мозга симптомы и признаки

Симптоматика при гормонпродуцирующих аденомах гипофиза

Аденомы гипофиза составляют от 10 до 15% от общего числа новообразований, обнаруживаемых в головном мозге. В 65% случаях их развитие приводит к аномальному увеличению выработки (гиперсекреции) тех или иных гормонов, что сопровождается характерными клиническими проявлениями. Такие опухоли называются гормонпродуцирующими, а их диагностика обычно не вызывает затруднений.

Аденомы гипофиза составляют от 10 до 15% в общем числе диагностируемых новообразований мозга

Чаще всего в гипофизе развиваются пролактиномы

, т.е. опухоли, вырабатывающие гормон пролактин. Его избыток у женщин в 80-90% случаев приводит к появлению:

Читайте также:  Амблиопия (синдром ленивого глаза) – что это такое, симптомы и лечение

  • нарушений менструального цикла (олигоменорея, аменорея) и бесплодия;
  • уменьшения плотности костной ткани (остеопении);
  • сухости стенок влагалища и его отекам;
  • гирсутизма (оволосения) и акне (гнойничков на коже);
  • снижения полового влечения;
  • аномальных выделений молозива из грудных желез (галактореи).

Гиперсекреция пролактина у мужчин проявляется:

  • часто – снижением потенции и либидо, олигоспермией с сопутствующим бесплодием, остеопенией;
  • редко – галактореей и увеличением грудных желез (гинекомастией).

Реже в данном отделе мозга появляются образования, вырабатывающие гормон соматотропин. Специфическими признаками гормональной дисфункции при соматотропиноме

становятся:

  • изменение черт лица;
  • увеличение стоп и кистей рук (акромегалия), языка (макроглоссия) и внутренних органов;
  • нарушения работы сердца – диастолическая дисфункция левого желудочка, гипертензия, аритмии, сердечная недостаточность на фоне изменений эндотелия;
  • проблемы с дыханием (вентиляторная дисфункция) за счет обструкции верхних дыхательных путей;
  • расстройства метаболизма с развитием сахарного диабета и гипертриглицеридэмии.

В гипофизарной области также могут развиваться:

  • Тиреотропиномы.
    Их появление приводит к увеличению в крови уровня гормона тиреотропина, что сопровождается усиленной стимуляцией щитовидной железы и вызывает экзофтальм, тахикардию, диарею, повышение температуры тела.
  • Кортикотропиномы.
    Избыток кортикотропного гормона приводит к развитию синдрома Иценко-Кушинга, включая характерный тип ожирения и появление на коже растяжек (стрихий). Рост образований этого типа у женщин также проявляется оволосением по мужскому типу, скудными месячными или их отсутствием. Дети с кортикотропиномами страдают задержкой роста, мужчины – эректильными дисфункциями, олигоспермией, снижением либидо.

Если вам требуется второе мнение для уточнения диагноза или плана лечения, отправьте нам заявку и документы для консультации, или запишитесь на очную консультацию по телефону.

+7 499 490-24-13

Экспертное мнение

Рак мозга: симптомы и признаки поражения височных долей

Одна или обе височные доли, затронутые раковой опухолью, могут вызывать у пациента слуховую агнозию, умственное расстройство (больной не может понять сказанное, писать под диктовку, читать, у него нарушается речь). Наличие опухоли в названных долях вызывает также амнезию, беспричинные страх и волнение. Больной может впасть в депрессию.

Признаки рака головного мозга в этом случае могут проявляться сильными головными болями, искажениями вкусовых и обонятельных ощущений. Пациента часто мучают беспричинные обмороки.

Поражения медиальных отделов в височной области могут проявляться и в виде аффективных расстройств по типу экзальтации или беспричинной тоски, а также состояния «дежа вю».

Виды опухоли

Исследователями разработана достаточно большая классификация новообразований в зависимости от самых разных факторов.

Гистология

Гистологические, структурные характеристики, особенности протекания заболевания позволяют выделять две группы новообразований: доброкачественные и злокачественные.

Доброкачественные опухоли не способны к делению, растут медленно, не проникают в другие ткани. По своей структуре напоминают те клетки, из которых произошли, частично сохраняют их функции. Такие опухоли можно удалить посредством операции, при этом рецидив появляется крайне редко. Тем не менее, доброкачественные новообразования в мозге очень опасны. Они ведут к сдавливанию сосудов, появлению отеков, застоев венозной крови, при этом их расположение не всегда дает возможность их удалить.

Новообразования злокачественного характера состоят из клеток, которые очень быстро делятся. Опухоли стремительно растут, образуя при этом целые очаги и проникая в соседние ткани. Чаще всего у злокачественных образований нет четких границ. Они плохо поддаются лечению, в том числе, хирургическому, и склонны к рецидиву.

Локация

Расположение позволяет говорить о 3 видах опухолей. Внутримозговые обнаруживаются в самом веществе мозга. Внемозговые появляются в оболочке и нервных тканях. Внутрижелудочковые – в мозговых желудочках.

Читайте также:  Токсоплазмоз: симптомы у человека, лечение и профилактика

В диагностике и определении болезней по МКБ-10 также выделяют заболевания в зависимости от точной локации опухоли, например, в лобных долях, мозжечке.

Этиология

Первичные новообразования появляются в результате изменений, происходящих в головном мозге. Они поражают кости черепа, серое вещество, сосуды. Среди первичных опухолей выделяют несколько подвидов:

  1. Астроцитома. Мутируют клетки мозга – астроциты. Опухоль является видом глиомы, часто носит доброкачественный характер.
  2. Медуллобластома. Является другим видом глиомы. Новообразования появляются в задней черепной ямке, растут в результате мутации эмбриональных клеток. На эту опухоль приходится 20% всех поражений мозга. Часто именно она возникает у детей разного возраста, от младенцев до подростков.
  3. Олигодендроглиома. Изменениям подвергаются олигодендроциты.
  4. Смешанные глиомы. Мутация происходит и в астроцитах, и в олигодендроцитах. В 50% первичных опухолей обнаруживается именно эта форма.
  5. Менингиомы. Изменяются клетки оболочки. Чаще является доброкачественной, но бывает и злокачественная.
  6. Лимфомы. Заболевание возникает в лимфососудах мозга.
  7. Гипофизарные аденомы. Связаны с поражением гипофиза, развиваются преимущественно у женщин. В редких случаях могут носить злокачественный характер.
  8. Эпендимома. Изменяются клетки, участвующие в синтезе спинномозговой жидкости.

Вторичные новообразования проявляются метастазами из других органов.

Признаки опухоли затылочной области мозга

При поражении затылочной части указывающие на рак мозга признаки проявляются, как правило, в нарушении зрения, так как именно здесь находятся центры, корректирующие его функции. А значит, если у больного наблюдается резкая потеря диоптрий на каком-либо глазу, в сочетании с другими тревожными симптомами, ему необходимо пройти обследование.

Но к ухудшению зрения может присоединиться и агнозия (нарушение процесса узнавания), то есть человек перестает распознавать цвет, буквы или предметы. Расстройство узнавания букв вызывает, в свою очередь, нарушение письма.

Отдельно можно упомянуть и нарушения ориентировки в комнате или на улице, проблемы в использовании схем, карт или часов.

В случае поражения теменно-затылочной части мозга на границе с височными долями, у больного наблюдается еще и нарушение припоминания слов, которые обозначают предметы.

Стадии недуга

Насчитывается 4 степени, характеризующие протекание такого заболевания, как опухоль головного мозга. Стадии могут сменяться очень быстро. Известны случаи, когда даже идентифицировать их не представлялось возможным.

Рассмотрим подробнее выраженные степени заболевания:

— 1 стадия. Начальный этап характерен медленным развитием новообразования. Клеток, пораженных недугом, незначительное количество. На данной стадии опухоль подлежит хирургическому вмешательству. Исход операции, как правило, благоприятен.

Однако признаки опухоли мозга на этой стадии очень слабо выражены. Пациенты могут испытывать слабость, головокружение и боль. Вряд ли кто-то связывает данные симптомы, характерные множеству болезней, с онкологией. Поэтому большинство из людей не проходят полную диагностику организма. А только она способна определить развитие недуга.

— 2 стадия. Опухоль начинает медленно охватывать прилежащие ткани. Несмотря на это, хирургическое вмешательство еще допускается. Пациент, идущий на операцию, имеет большой шанс излечиться.

Если рассматривать признаки опухоли мозга, то к вышеназванным добавляется тошнота, возможна рвота. Эти явления совершенно не связаны с процессом еды. Рвотный рефлекс вызван изменением внутричерепного давления. У пациента могут наблюдаться эпилептические припадки, судороги.

Стоит подчеркнуть еще раз: если имеется опухоль мозга, стадии, описанные выше (1 и 2), операбельные. При них шанс избавиться от болезни просто огромен.

опухоли головного мозга у детей

— 3 стадия. Болезнь прогрессирует. Недуг представляет угрозу для жизни пациента. Злокачественные клетки стремительно внедряются в ткани. Зачастую эту стадию врачи классифицируют как неоперабельную опухоль мозга. Лечение происходит симптоматически различными медикаментами.

— 4 стадия. Самая опасная степень онкологии. Прогноз неблагоприятен. Стремительно разрастающаяся опухоль поражает практически весь мозг. Больной «тает» прямо на глазах.

Однако имеются случаи удачного хирургического вмешательства. К примеру, если новообразование размещено в височной области. Дальнейшая лучевая и химиотерапия способны остановить процесс деления злокачественных клеток. Но зачастую данная степень характеризуется необратимым процессом. Любое лечение способно лишь замедлить течение недуга.

Симптомы поражения теменной доли

Признаки рака головного мозга при поражении теменной доли, отвечающей за восприятие и воспроизведение речи, у больного выражаются в нарушении этих функций (т. н. афазия).

Кроме того, обнаруживается расстройство координации движений, пациент не может опознать предмет на ощупь. Это вызывается поражением вторичных корковых полей в упомянутой доле мозга, которое и приводит к расстройству возможности анализа ощущений, притекающих в кору теменной доли при касании, а также к ослаблению представления о тактильном образе данного предмета. В медицине данное состояние носит название астереогнозии.

Кстати, первые признаки рака мозга в теменной доле могут проявляться и нарушением представления о собственном теле – его «схеме», которое иногда выражается в обманном ощущении наличия нескольких конечностей или «чужой» руки, а также увеличения или уменьшения какой-то части тела.

Диагностика

При наличии хотя бы нескольких из вышеописанных признаков, нужно обратиться к врачу. На сегодняшнем этапе, диагностика включает в себя комплекс мероприятий, позволяющих выявить локализацию, степень развития. В первую очередь, следует сдать анализы крови, мочи, сделать рентген.

Кроме рентгенографии можно сделать МРТ, КТ. Эти методы позволяют обнаружить опухолевое тело и понять, где оно располагается, можно ли его удалить. Доброкачественная или злокачественная ОГМ можно определить, только проведя биопсию или взяв пункцию спинномозговой жидкости.

Как проявляются опухоли лобной доли мозга

Лобный участок мозга регулирует интеллект, контролирует процесс выполнения того или иного действия, а также способность человека принимать решения. Поэтому опухоль разных отделов этой доли мозга может сразу сказываться на психическом состоянии больного.

Читайте также:  Норма содержания кортизола и причины гормонального сбоя у женщин

первые признаки рака головного мозга

Это могут быть, например, так называемые двигательные персервации (пациент не может остановиться вовремя и продолжает выполнять какое-либо действие). Так, при просьбе нарисовать круг, человек, имеющий рак мозга (признаки поражения его лобной части), будет рисовать целый моток кругов. Для него станет проблемой и процесс письма, особенно в случае написания состоящих из однородных элементов букв (например, словосочетание «мишина машинка»).

Речь такого больного сильно обедняется, он становится молчаливым, а иногда, наоборот, слишком многословным. Часто и эмоциональное состояние человека становится неадекватным, характеризующимся психомоторным возбуждением. Кроме того, пациент может оказаться дезориентированным во времени, месте своего нахождения и даже в собственной личности.

первые признаки рака мозга

Признаки в зависимости от локализации

признаки опухоли в зависимости от расположения

Область проявления признаков напрямую зависит от места расположения опухоли. Это позволяет верно установить заболевание и быстро определить локализацию паразитирующих клеток.

Лобная доля

Если клетки-паразиты появились в передней части лобной доли, то симптомы могут полностью отсутствовать до момента поражения большей территории. Среди первых признаков выделяется изменение поведения и характера человека, которые обычно проявляется на фоне стрессовых ситуаций. Из-за этого признаку не уделяют должного внимания до появления проблем со зрением или начала припадков. Возможно резкое понижение умственных способностей человека и появление ранее несвойственных, легкомысленных поступков.

При появлении опухоли в задней части лобной доли справа или слева наблюдаются дефекты речи. Человек может начать неправильно произносить звуки, путать слова или просто совершать ошибки, которые он сам замечает, но не может исправить. С развитием заболевания возможно частичное онемение языка, половины или руки в зависимости от стороны локализации опухоли.

Если опухоль локализуется в верхней части, то появляется слабость в одной или сразу двух ногах, из-за чего нарушается походка. С развитием опухоли появляются проблемы с работой органов, расположенных в нижней части туловища.

Мозжечок

Мозжечок – самое частое место локализации паразитирующих клеток. Среди первоначальных симптомов выделяются:

  • нарушение координации и равновесия;
  • головокружение;
  • движения глазного яблока, возникающие спонтанно и неконтролируемо;
  • резкое снижение тонуса мышц, дряблость, вялость, постоянная слабость;
  • изменения в походке, частые падения.

Если болезнь поразила мозжечок, то через небольшой промежуток времени возникают проблемы с психическим и эмоциональным состоянием человека.

Височная доля

Новообразования в области височной доли сопровождаются:

  • галлюцинациями;
  • проблемами со зрением. Часть изображения становится невидимой. Обычно проявляется при глубокой локализации болезни;
  • проблемами с пониманием речи других людей;
  • проблемами или частичной потерей памяти;
  • припадками эпилепсии;
  • постоянным ощущением дежавю.

Если новообразование расположено на стыке нескольких долей, то человек испытывает проблемы с речью, теряет возможность писать, читать или проводить расчеты.

Затылочная доля

Если новообразование появилось в затылочной доли, то могут появиться галлюцинации, проблемы с распознаванием изображения (исчезают небольшие фрагменты или целые части). Могут появиться проблемы со зрением. Больной видит частые вспышки или искры перед глазами.

Самый частый симптом – человек не узнает предметы. Он их замечает, но сказать, посмотрев на предмет, зачем он нужен не может. Если больному вслух назвать предмет, то он с легкостью скажет о его предназначении.

Основание мозга

При локализации клеток-паразитов в области основания мозга человек испытывает постоянное чувство боли или онемения лица. Появляется косоглазие, ранее не свойственное пациенту. На фоне этого изображение может раздваиваться. Глаза совершают частые непроизвольные движения.

Турецкое седло

Если новообразование поражает турецкое седло, то человек одновременно испытывает нарушения зрения (видна только ограниченная область) и гормонального баланса. Также наблюдается:

  • проблемы с обонянием. Запахи смешиваются или не улавливаются вовсе;
  • повышенное выделение пота;
  • учащенное сердцебиение.

Если злокачественные образования появились у ребенка или подростка, то отмечаются слишком длинные кисти рук, ступни или сами руки.

Подкорковые доли

Главный признак локализации новообразования в подкорковых долях – нарушение тонуса мышц, вследствие чего человек постоянно горбится или сутулится, непроизвольно двигает руками или двигает лицевыми мышцами. Могут появиться болевые ощущения при движении, повышенное отделение пота.

4 й желудочек

Проявляются все симптомы, характерные для внутричерепного давления. Часто человек неосознанно держит голову в одном положении, при котором улучшается циркуляция жидкости. Женщины чаще всего отмечают гормональные нарушения в организме. Появляется сильная, постоянная тошнота, сопровождаемая рвотой, потеря сознания. Человек может непроизвольно двигать глазами.

Ствол мозга

Если паразитирующие клетки расположены в стволе мозга, то симптомы комбинируются, то есть появляются сразу с двух сторон тела, но в разных проявлениях. Самые частые признаки:

  • проблемы с дыханием;
  • искаженная мимика;
  • резкое изменение давления;
  • головокружение и головные боли;
  • эмоциональная нестабильность;
  • нарушения походки;
  • асимметрия лица.

Комбинации симптомов могут быть самыми разными. Так, например, у человека с правой части тела искажена мимика, а с левой потеря тонуса мышц.

Еще несколько слов о симптомах рака мозга

Число больных с диагнозом «рак головного мозга», симптомы, признаки которого мы рассматривали в статье, с каждым годом увеличивается на треть. Причиной тому может быть и плохая наследственность, и влияние тяжелой экологической обстановки. Но что бы ни заставило развиться злокачественное новообразование, человеку нельзя игнорировать признаки его появления.

Не терпите постоянную головную боль! И обращайте особенное внимание, если:

  • головная боль особенно тяжелая, продолжительная и интенсивная;
  • боль сопровождается еще какими-то симптомами (тошнота, рвота, падение зрения, изменения слуха, нарушение координации);
  • боль выражена только с одной стороны головы и длится не меньше двух недель.

Кроме того, не стоит останавливаться на консультации с одним врачом. При подозрении, что диагностирование было недостаточным или поверхностным, обратитесь к еще одному специалисту. В этих случаях всегда лучше перестраховаться, потому что лишь тогда рак мозга, симптомы и признаки которого вам теперь известны, не станет для больного приговором!

Причины развития онкологии

Опухоль головного мозга возникает по причине изменений в ДНК здоровых клеток, которые начинают неконтролируемое деление. Сами же причины такого феномена изучены мало и ученые могут делать только предположения на этот счет.

Четко обозначить удалось лишь некоторые причины:

  • Наследственность (люди, в семейном анамнезе которых есть онкологические заболевания, входят в группу риска, но это не значит, то они обязательно заболеют);
  • облучение (этот факт был доказан еще после взрыва ЧАЭС, когда пострадало множество людей);
  • работа с химикатами;
  • травмы головы (сотрясения мозга, кровоизлияния могут спровоцировать появление новообразования);
  • тяжелые заболевания, связанные с разладом иммунной системы (СПИД, аутоиммунные заболевания, менингит и др);
  • неудачные операции по трансплантации органов;
  • длительный прием некоторых групп препаратов;
  • отклонения в развитии ЦНС, мозговых клеток на стадии развития эмбриона.

Спровоцировать появление опухолевого тела может длительный стресс. Его первым последствием являются головные боли напряжения, которые спровоцированы ухудшением кровотока, отмиранием нейронов. Еще одной причиной считается недостаток витаминов в организме и вредные привычки (алкоголизм, табакокурение, наркомания).

Некоторые полагают, что причиной появления недуга может стать частое использование мобильного телефона, но этот факт так и не был доказан учеными.

Методы борьбы с недугом

Устранение любого злокачественного образования включает три основных направления: химиотерапия, облучение и хирургическое вмешательство. Борьба с данным недугом имеет свои особенности. Химиотерапия оказывается малоэффективной, если стоит такой диагноз, как опухоль головного мозга. Лечение в основном базируется на хирургическом удалении новообразования.

При этом не все опухоли поддаются полному удалению. Многое зависит их от локализации. Иногда новообразование может размещаться в жизненно важных структурах. Полное избавление от этих опухолей приведет к повреждению мозга. В таком случае удаляется лишь допустимая часть, а остаток разрушается при помощи облучения или химиотерапии.

Альтернативой хирургическому вмешательству являются новые технологии – кибернож, гамма-нож. Такие способы позволяют высокой дозой облучения побороть опухоль головного мозга. Лечение настолько эффективно, что зачастую на ранних стадиях используется как основной метод борьбы.

Сегодняшняя медицина разрабатывает и внедряет новые методы оперативного вмешательства. Это ультразвуковая и лазерная техники. Основная цель разработок – снизить до минимума травматизм.

Лучевая терапия назначается спустя неделю после хирургии. Курс полностью зависит от размера злокачественного образования. Варьируется он от семи дней до двадцати одного.

Существует еще один способ борьбы с недугом. Это криохирургия. Такой метод позволяет заморозить опухоль мозга. Лечение считается достаточно эффективным. Для замораживания раковых клеток используют жидкий азот при пониженных температурах.

Реабилитация

Опухоль может затрагивать зоны головного мозга, которые отвечают за важные функции, такие как речь, движения, работа органов чувств, мышление, память. Поэтому многим пациентам нужен курс реабилитационного лечения. Он может включать разные мероприятия, например:

  • Занятия с логопедом, речевая терапия.
  • Индивидуальное обучение, занятия с репетитором для школьников и студентов.
  • Лечебная физкультура помогает восстановить двигательные навыки.
  • Трудотерапия, профориентация, при необходимости — обучение новой профессии.
  • Препараты, которые помогают справиться с симптомами опухоли и побочными эффектами лечения: средства для улучшения памяти, борьбы с повышенной утомляемостью и др.

После успешного лечения может произойти рецидив, поэтому важно регулярно являться на осмотры к врачу, проходить МРТ.

Диагностирование

Для того чтобы точно поставить диагноз и определить вид опухоли, врачам необходимо взять на анализ сами клетки – то есть нужно делать биопсию.

Читайте также:  Аднексит: лечение, причины, симптомы, признаки, фото

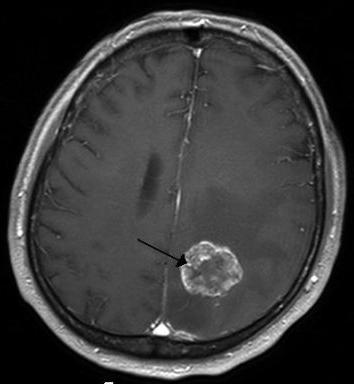
МРТ

Сначала приходится установить, где именно находится опухоль. Это помогает сделать МРТ или КТ головного мозга. Томография показывает, где находится новообразование, каков его размер, есть ли рядом с ним участки отмерших тканей (некроз) и следы кровоизлияний. Также с помощью томографии определяют, насколько сильно опухоль повредила окружающие ткани.

Много информации об опухоли дает и такой вид диагностической процедуры как позитронно-эмиссионная томография (ПЭТ). В ее ходе производится отслеживание, как перемещается в мозгу радиоактивный меченый сахар. Быстро делящиеся клетки опухоли поглощают его значительно быстрее, чем здоровые ткани. ПЭТ часто назначают в качестве дополнения к МРТ или КТ.

Для того чтобы оценить состояние кровеносных сосудов, питающих опухоль, делается МРТ-ангиография. А спинномозговая пункция позволяет установить наличие в ней особых онкомаркеров или даже самих раковых клеток.

Дорогие читатели, если вам захотелось поделиться ссылкой на эту статью с друзьями на других ресурсах, то вы можете сделать это в один клик. Нажимайте на подходящие кнопочки, которые вы видите чуть ниже, и ссылки появятся автоматически.

Понравилась статья? Поделись с друзьями в соцсетях:

Этот блог читают и используют из него советы и рекомендации 6939 приверженцев здорового образа жизни, поэтому у них и со здоровьем в порядке, и настроение хорошее, и работа у них спорится. Читай и ты.

Я даю согласие на рассылку и принимаю политику конфиденциальности.

Вам так же может быть интересно

«Народные способы» как снять алкогольную интоксикацию –…

алкогольная кома

Доброго времени суток, дорогие читатели. Алкогольные напитки настолько прочно вошли …

16 Читать далее
Чем отличаются симптомы при холецистите и панкреатите? …

Добрый день уважаемые друзья и читатели блога Алексея Шевченко «Здоровый …

16 Читать далее
Правильное питание во время химиотерапии – залог успешн…

Доброго вам времени суток уважаемые посетители блога Алексея Шевченко «Здоровый …

5 Читать далее
Хотите промыть почки? Для этого подойдет отвар овса для…

Всем привет! Вот и закончился последний Новый Год в этом …

13 Читать далее

Симптомы на поздних стадиях

  • Звездочки перед глазами.
  • Потеря зрения в одном или сразу в двух глазных яблоках.
  • Нарушение слуха.
  • Эпилепсия.
  • Изменение гормонального баланса.
  • Пациент не может нормально дышать, глотать, вкусы и запахи воспринимаются неправильно.
  • Цвета становятся тусклыми или наоборот яркими. Появляются слуховые и визуальные галлюцинации.

Проявления

Что предпринять, чтобы спокойно спать?

Если вы заметили хотя бы один из тревожных симптомов, обязательно отправляйтесь к врачу. Изначально посетите терапевта. Тщательно собранные анализы позволят поставить диагноз или же поздравить вас с крепким здоровьем.

При невозможности обследования начните с малого – сдайте биохимию крови. Косвенные признаки возможной опасности увидит окулист, обследовав глазное дно.

В случае необходимости вам порекомендуют пройти более тщательную диагностику. Однако совершенно не исключено, что все ваши страхи напрасны.

Преимущества лечения ЗОМ в Бельгии

Злокачественные опухоли ЦНС всегда связаны с достаточно серьезным прогнозом. Обеспечение хорошей выживаемости при таком диагнозе во многом зависит и от качества проведенного хирургического лечения, и от правильного применения современных методов терапии онкологических заболеваний.

Все доступные средства необходимо задействовать в полном объеме. Именно комплексность обеспечивает их эффективность.

Так, в настоящее время в Бельгии доступны следующие методы лечения:

  • антиангиогенные агенты;
  • ингибиторы тирозинкиназы;
  • противораковые вакцины;
  • стереотаксическая радиохирургия.

Большинством этих возможностей можно воспользоваться и в других странах с развитой медициной — Германии, Швейцарии, Израиле, — но стоимость лечения в Бельгии будет более комфортной.

В клиниках Бельгии операции по удалению новообразований ЦНС проводятся в том числе с использованием современных нейрохирургических роботов, что гарантирует большую полноту удаления опухоли при меньшем травмировании здоровых структур мозга.

Кроме того, в клиниках Бельгии существуют собственные технологии лечения рака ЦНС, не внедренные еще в других станах Европы. Например, метод введения иммунопрепарата непосредственно в мозг, разработанный врачами Клиники Университета Брюсселя, дает возможность продлить жизнь пациентам со сложными формами агрессивной онкологии ЦНС.

лечение рака мозга в европе

Другие характерные признаки

рак мозга его признаки

Дальнейшее развитие опухоли в голове провоцирует такие нарушения:

  1. Эпилептические приступы, связанные с поражением нервных клеток и сбоем их электрофизиологической функции.
  2. Прогрессирующее снижение зрительной способности.
  3. Нарушения слуха вплоть до глухоты.
  4. Появление обонятельных, зрительных, вкусовых, слуховых галлюцинаций.
  5. Гормональный дисбаланс развивается, если поражены такие отделы мозга, как гипоталамус и гипофиз.

Другие симптомы раковой опухоли мозга связаны с теми органами, которые иннервируются пораженным нервным центром. Могут нарушаться глотательный, дыхательный и прочие рефлексы.

  1. Евгений

    2018-12-24

    Отличная статья! МРТ достаточно точный метод. Можно еще увидеть опухоль или нарушения по электроэнцефалограмме.

    Ответить

      Алексей

      2018-12-25

      Евгений, к сожалению, многие симптомы (головная боль,головокружение) бывают у многих из нас и поэтому важно не грешить на погодные влияния или утомление, а разобраться в этих самых первых симптомах. От этого зависит жизнь, так как на поздних стадиях врачи зачастую бессильны помочь больному.

      Ответить

Ссылка на основную публикацию
Похожее